Paul Robinson v Evropě končí
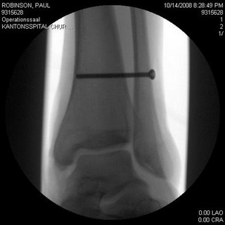
Paul Robinson předčasně ukončil svůl 3,5 měsíční trip po evropských bouldrových oblastech. Přiměla ho k tomu zlomená holení kost a přetrhané vazy v kotníku jeho levé nohy. Tuhle "radost" si přivodil 14.10. pádem z téměř vylezeného boulderu Unendliche Geschichte (1+2) na Bruno bloc v Magic Woodu. Pokus předtím spadl ve stejném místě na konci dvojky, když mu smekla pata. Sám nevěděl proč a tak dal 20min pauzu, znovu nastoupil, přelezl klíč a v tom samém místě mu i přes pocit nadhledu opět smeklo. Jenže tentokrát ho to hodilo nečekaně do rotace a dopadl nalevou nohu... Na několik měsíců má teď od lezení útrum (zlomenina se neobešla bez šroubů v kosti), nicméně plánuje začít bušit na kampusu, protože prej nikdy nebyl vyloženě silnej lezec :-) Jeho cíl je být zpátky do Amerických národních závodů v únoru...tak ať mu to vyjde.


Reakce na článek
Příspívat do diskuze k tomuto článku, mohou pouze registrovaní uživatelé. Pokud se chcete zaregistrovat, přejděte na registrační formulář. Pokud jste již registrovaným uživatelem, přihlášte se.
Nejčtenější
- Buildering SAC
Boulderingové setkání v prostředí Bohumínských drátoven, Romských ghett a železobetonových obranných opevnění z období 2. světové války!...
celý článek >>> - Český pohár v boulderingu FlashBB
...
celý článek >>> - ČP Ústí už se blíží
A kolotoč se rozjíždí a nezastavuje:-)...
celý článek >>>